What Are White Spots on Teeth?
White spots are opaque or chalky areas on the tooth surface caused by changes in enamel mineralization. They can appear on both front and back teeth and often become more noticeable after orthodontic treatment.
Common causes include:
- Braces or Invisalign (decalcification around brackets)
- Fluorosis
- Early enamel demineralization
- Poor oral hygiene
- Acid erosion
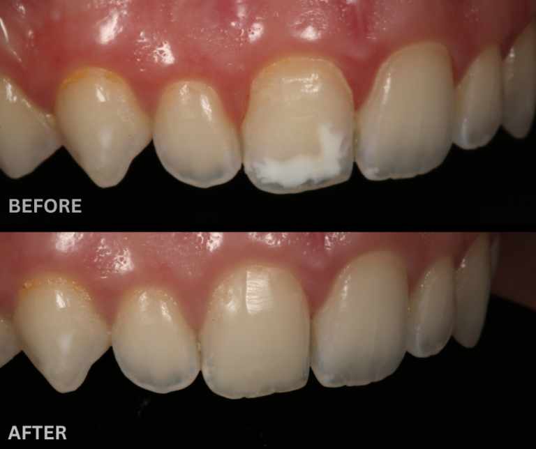
Cassandra's Smile Journey at Dublin Metro Dental
Patient concern: prominent white spot on upper front tooth




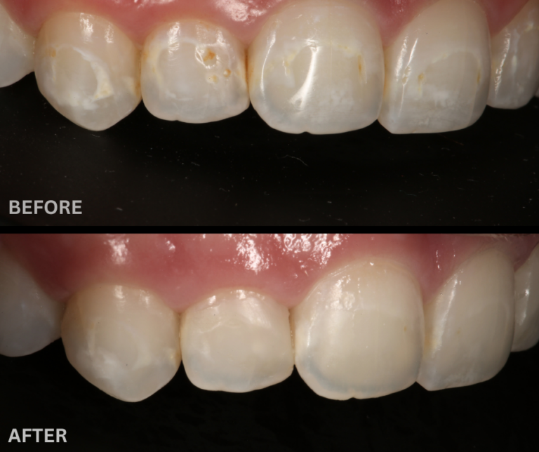
Taylor's Smile Journey at Dublin Metro Dental
Patient concern: spots & lesions after metal braces removal





Ashley's Smile Journey at Dublin Metro Dental
Patient concern: white spots on all top front teeth making her feel shy




Kylie's Smile Journey at Dublin Metro Dental
Patient concern: white spots on top front teeth making her feel shy




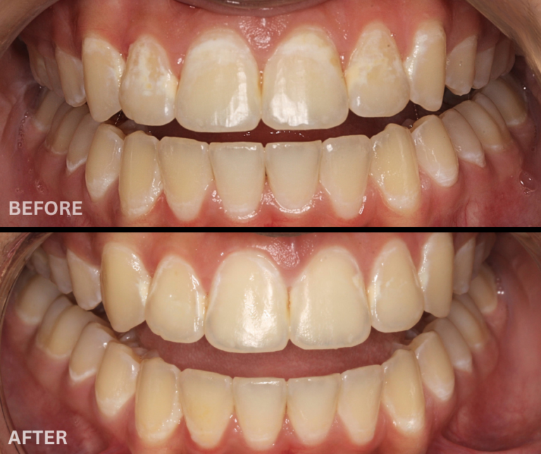
Emma's Smile Journey at Dublin Metro Dental
Patient concern: prominent white spots on upper teeth




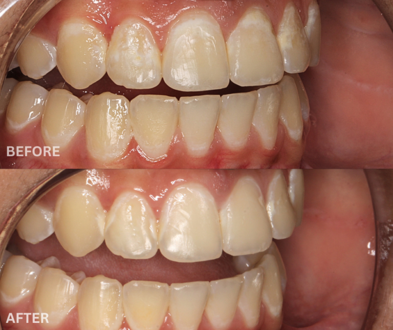
Kristen's Smile Journey at Dublin Metro Dental
Patient concern: prominent white spots on canine and lower teeth




Jaisa's Smile Journey at Dublin Metro Dental
Patient concern: prominent white spots on all upper teeth



Samridhi's Smile Journey at Dublin Metro Dental
Patient concern: prominent white spots on all upper teeth




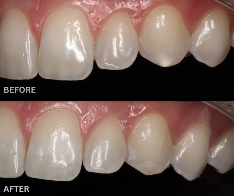
Rachel's Smile Journey at Dublin Metro Dental
patient concern: prominent white spot upper canine tooth



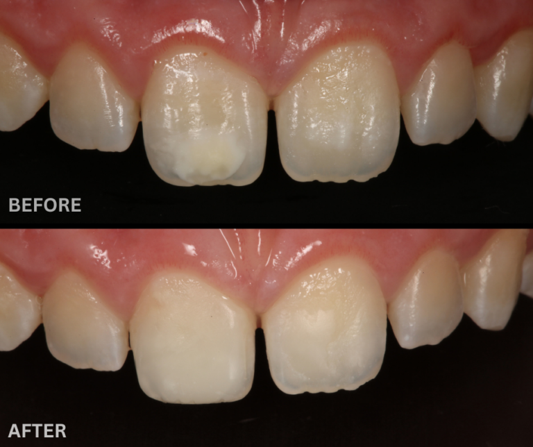
Claire's Smile Journey at Dublin Metro Dental
Patient concern: prominent white spot on upper tooth




White Spot Removal – FAQs
What causes white spots on teeth?
White spots are caused by enamel demineralization, fluorosis, braces, poor oral hygiene, or acid erosion.
Can white spots be removed permanently?
Many white spots can be significantly reduced or eliminated depending on their depth and cause.
What is ICON white spot removal?
ICON resin infiltration is a minimally invasive treatment that blends white spots with surrounding enamel without drilling.
Is white spot removal painful?
White spot removal is typically painless and does not require anesthesia.
Do white spots come back after treatment?
With good oral hygiene and regular dental visits, results are usually long-lasting.
Is white spot removal considered cosmetic dentistry?
Yes, white spot removal is considered a cosmetic dental treatment.