Learn with us
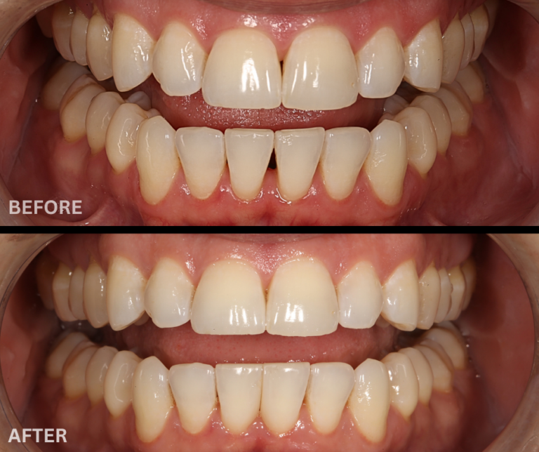
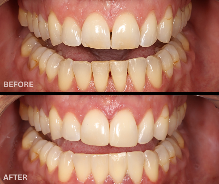
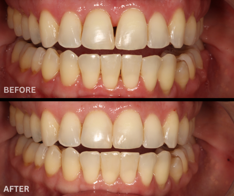
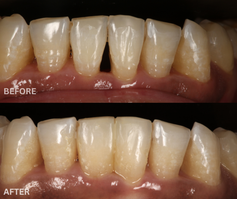
What are Black Triangles?
Black triangles are small, dark, triangular gaps that can appear between teeth near the gum line. They’re also called open gingival embrasures and are a common concern in cosmetic dentistry—especially for adults.


























