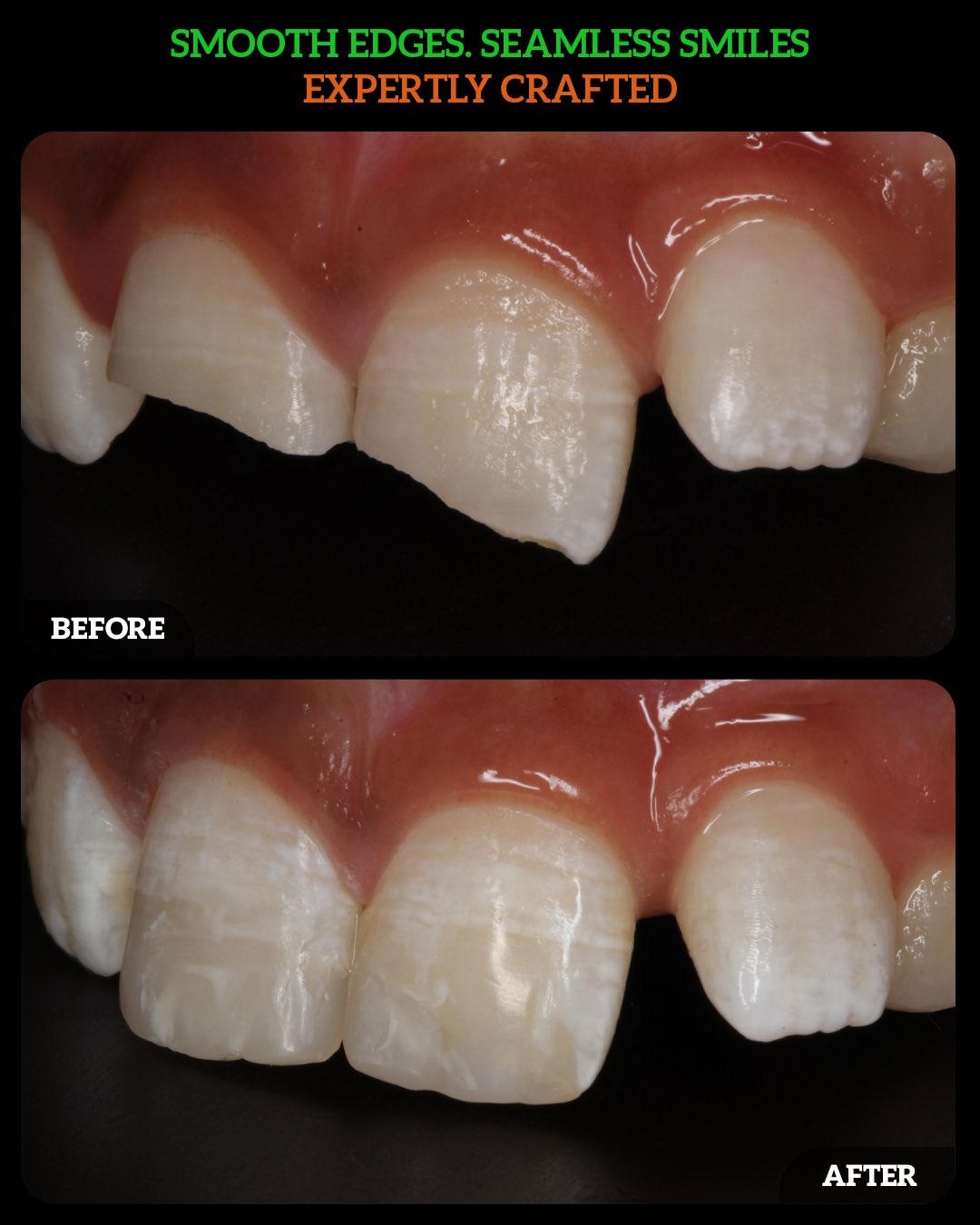
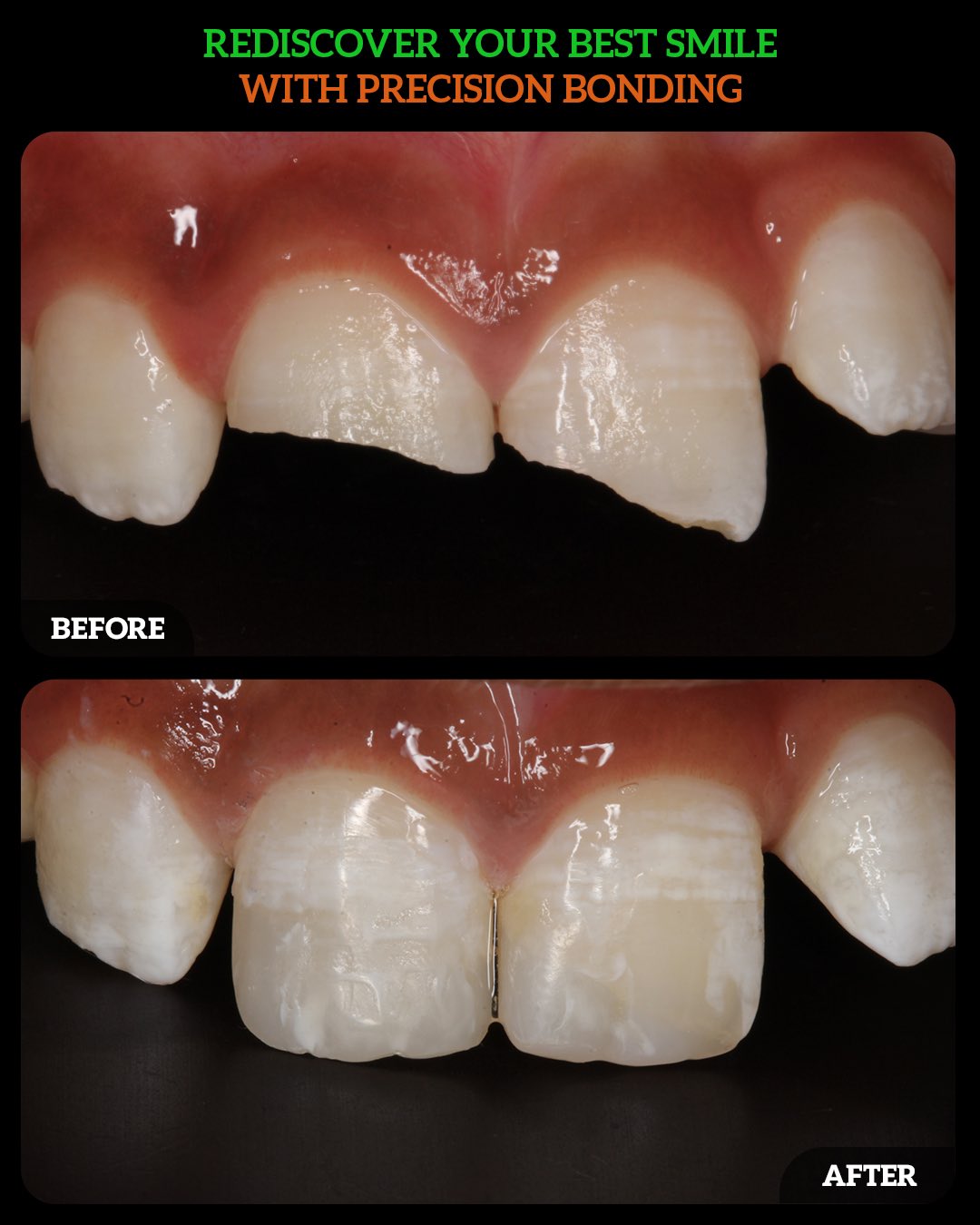
What is Chipped Tooth Bonding?
Chipped tooth bonding is a minimally invasive cosmetic dental procedure that uses tooth-colored composite resin to repair small chips, cracks, or worn edges. The material is carefully shaped, sculpted, and polished to blend seamlessly with your natural teeth.
At Dublin Metro Dental, bonding is a fast, comfortable way to restore your smile without the need for crowns or veneers in many cases.
Why Choose Chipped Tooth Bonding in Dublin / Columbus, OH?
- Quick and convenient: Many cases are completed in a single appointment
- Affordable cosmetic solution: Less expensive than veneers or crowns
- Natural-looking results: Composite resin is color-matched to your teeth
- Conservative treatment: Minimal removal of healthy enamel
- Durable and long-lasting: With proper care, bonding can last 5–10 years
Yolanda Bonding
Patient concern: prominent white spot on upper front tooth




Jose Alacanter invis Bonding
Patient concern: prominent white spot on upper front tooth





Chip Bonding Transformation
Patient concern: prominent white spot on upper front tooth




Brooke tillman bonding Transformation
Patient concern: prominent white spot on upper front tooth



Bonding Broken Tooth Transformation
Patient concern: prominent white spot on upper front tooth




Bonding Broken Transformation
Patient concern: prominent white spot on upper front tooth




Bonding Transformation
Patient concern: prominent white spot on upper front tooth


Antonette's Smile
Patient concern: prominent white spot on upper front tooth


Abbie's Smile
Patient concern: prominent white spot on upper front tooth





Schedule Your Chipped Tooth Bonding in Dublin / Columbus, OH
If you have a chipped, cracked, or worn tooth, dental bonding at Dublin Metro Dental can restore your smile quickly and naturally.
Chipped Tooth Bonding – FAQs
Dental bonding in Dublin and Columbus, OH is a cosmetic procedure that repairs chipped, cracked, or worn teeth using tooth-colored composite resin. Bonding restores the tooth’s natural shape, appearance, and function in a minimally invasive way.
Dental bonding in Dublin and Columbus, OH typically lasts 5–10 years with proper oral hygiene, regular dental checkups, and avoiding habits like biting hard objects that can damage the material.
Most bonding procedures in Dublin and Columbus, OH are comfortable and often require little to no anesthesia. Patients usually experience only minor sensitivity during or after treatment.
Yes. Many patients in Dublin and Columbus, OH receive same-day bonding for minor chips, making it a quick and convenient cosmetic solution.
Absolutely. Dental bonding in Dublin and Columbus, OH uses tooth-colored resin that is carefully shaped and polished to match your natural teeth, creating a seamless and aesthetically pleasing smile.
Dental bonding is durable but not permanent. In Dublin and Columbus, OH, it can last several years before needing touch-ups or replacement, depending on wear and oral habits.