Get Upto 8 Shades Whiter in Single Visit

Schedule Your Teeth Whitening Appointment Today!

What is Philips Zoom Teeth Whitening?

Philips Zoom is a professional dental whitening system that effectively lightens tooth enamel, removing discoloration caused by coffee, tea, wine, smoking, aging, or medication. Unlike over-the-counter products, Philips Zoom in Dublin and Columbus, OH delivers faster, more dramatic results with a safe, dentist-supervised process.

Why Professional Whitening is Better Than Over-the-Counter Products

At Dublin Metro Dental, we use Philips Zoom to give patients a safe, effective, and long-lasting whitening experience.

Why Choose Philips Zoom at Dublin Metro Dental?

unleash your Brighter Smile

3 simple steps of teeth whitening

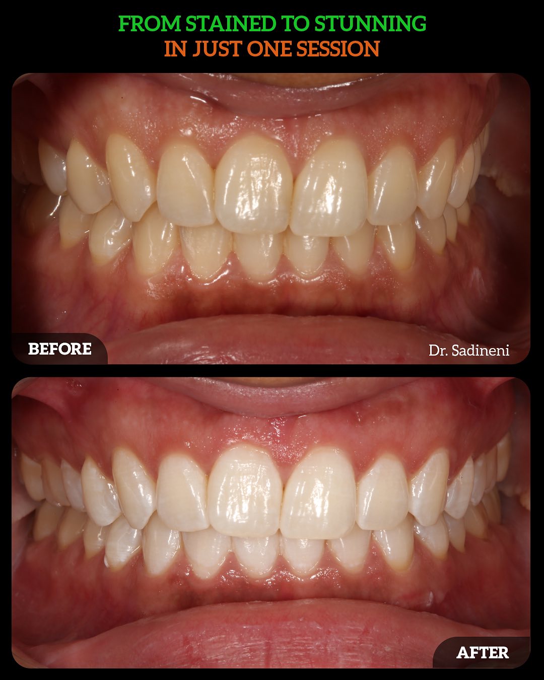
Erikaa's smile Changed her life with just ONE sitting of Whitening

patient concern: very yellow teeth making her conscious

Saphace Gets her Confidence back!

patient concern: Yellowing of teeth during orthodontic treatment.

Saphace Gets her Confidence back!

patient concern: Yellowing of teeth during orthodontic treatment.

Michael Restores her smile with Implants by Dr. Sadineni

patient concern: Missing front tooth

Alex's Restores her smile with teeth whitening

patient concern: Dull & yellow teeth

You Get Immediate Results!

The beauty of professional whitening is that theres no waiting period, in about an hour, you have a brand new smile and a mini makeover, which is perfect for people with busy schedules and who need quick results.

In-Office Teeth Whitening– FAQs

Professional teeth whitening in Dublin and Columbus, OH uses dentist-supervised bleaching agents to remove stains and discoloration from the enamel. This treatment is more effective than over-the-counter products and delivers faster, noticeable results.

With proper oral hygiene and avoiding staining foods or drinks, professional teeth whitening in Dublin and Columbus, OH can last several months to a few years. Touch-up treatments may extend the brightness of your smile.

Yes. Teeth whitening performed by a licensed dentist in Dublin or Columbus, OH is safe and carefully monitored to protect enamel and minimize sensitivity while producing a bright, natural-looking smile.

Temporary sensitivity is possible during or after whitening in Dublin and Columbus, OH. This is usually mild and short-lived, and your dentist can recommend desensitizing treatments if needed.

While professional teeth whitening is effective for most surface stains in Dublin and Columbus, OH, deep discoloration may require additional cosmetic treatments like veneers or bonding for optimal results.

Teeth whitening is considered a cosmetic procedure in Dublin and Columbus, OH and is typically not covered by insurance. Many local dental offices offer flexible financing options for whitening treatments.

Are you Ready To Get a Brighter Smile?

We are grateful for all the love and support given to us throughout the years since 2008! We believe our success is an outcome of the trust shown in our team by local community of columbus.

Scroll to Top