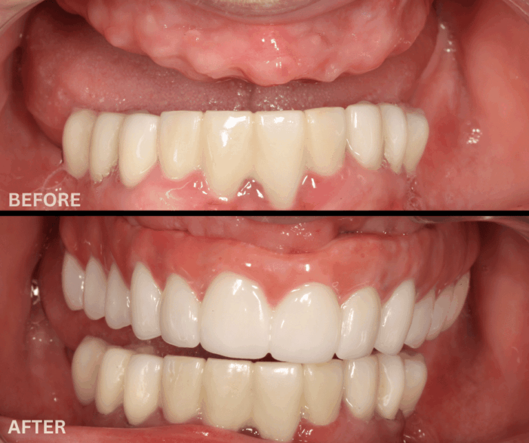
What Are All-on-4 Dental Implants?
All-on-4 dental implants use four strategically placed dental implants to support a full arch of replacement teeth (upper, lower, or both). This technique allows patients to replace an entire set of teeth using fewer implants while achieving excellent stability and strength.
All-on-4 is ideal for patients who:
- Are missing most or all of their teeth
- Have failing or severely damaged teeth
- Struggle with loose dentures
- Want a fixed, non-removable smile
- Have been told they have bone loss
Ashley's smile with All-on-4 Implants by Dr. Sadineni
patient concern: Missing front tooth




Cindy's smile with All-on-4 Implants by Dr. Sadineni
patient concern: Missing front tooth




All-on-4 Dental Implants – FAQs
They replace a full arch of teeth using four implants.
Many patients receive same-day temporary teeth.
Often no, due to angled implant placement.
They can last many years with proper care.
No, they are fixed in place.
Patients missing most or all teeth may qualify.