What Are Dental Veneers?
Porcelain veneers are thin, durable shells made of highquality ceramic that are bonded to the front surface of the teeth. They are customcrafted to match your facial features and smile goals, delivering beautiful, realistic results.
Porcelain veneers can correct:
- Discolored or stained teeth
- Chipped or worn teeth
- Uneven or misshapen teeth
- Gaps between teeth
- Mild crowding or misalignment
- Black triangles near the gum line
Dr. Sadineni is known for delivering natural, elegant veneer results tailored to each patient’s facial features.
Benefits of Porcelain Veneers
- Naturallooking and stainresistant
- Longlasting cosmetic results
- Customdesigned for your smile
- Minimal tooth removal compared to crowns
- Immediate improvement in smile appearance
With proper care, porcelain veneers can last 10–15 years or longer.
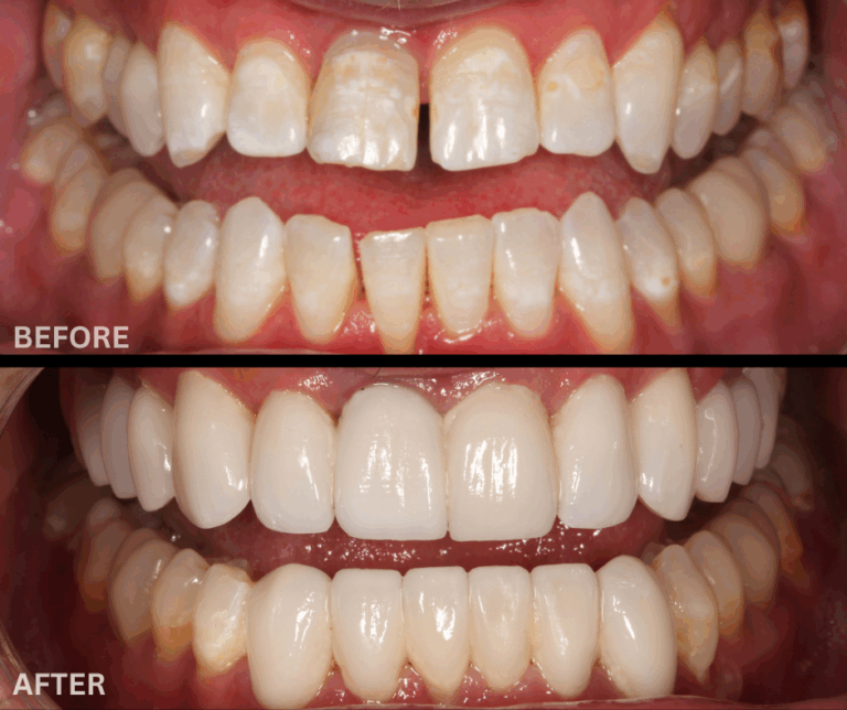
Paige's Smile Journey at Dublin Metro Dental
Patient concern: Chipping, crowding, yellow teeth, discoloration




Dienna's Smile Journey with Dr. Sadineni
Patient concern: Chipping, crowding, yellow teeth, discoloration




Jena's Smile gets a Makeover!
Patient concern: Chipping, crowding, yellow teeth, discoloration




Logan's transformation with Invisalign + Porcelain Veneers
patient concern: Chipping, crowding, yellow teeth, discoloration




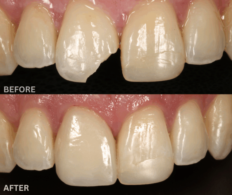
Andrea's transformation with Invisalign + Porcelain Veneers
patient concern: gaps and discoloration on front tooth




Evan's Smile Restored with Porcelain Veneers
patient concern: Chipping, crowding, yellow teeth, discoloration




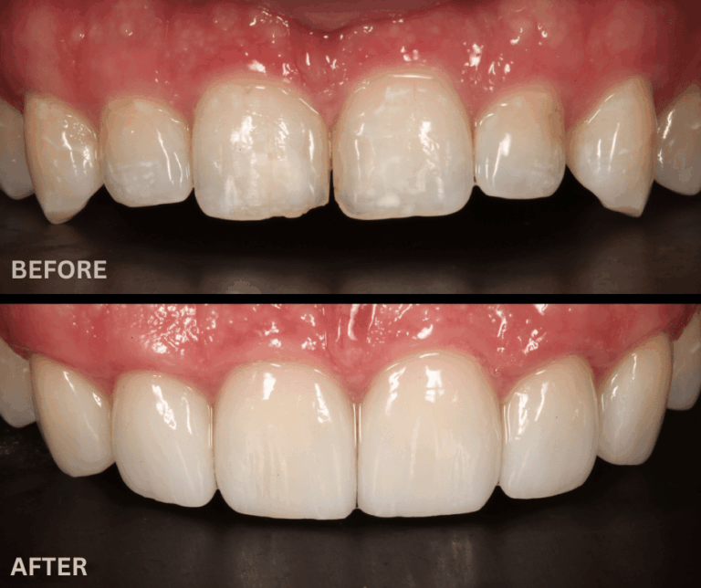
Alison's Smile Restored with Porcelain Veneers
patient concern: broken front teeth due to falling down




Mary's Smile Restored with Porcelain Veneers
patient concern: Chipping, crowding, yellow teeth, discoloration



Tim's Smile Restored with Porcelain Veneers
patient concern: Chipping, crowding, yellow teeth, discoloration




Porcelain Veneers – FAQs
What are porcelain veneers?
Porcelain veneers are thin ceramic shells bonded to the front of teeth to improve color, shape, and alignment.
How long do porcelain veneers last?
With proper care, porcelain veneers typically last 10–15 years or longer.
Do porcelain veneers look natural?
Yes. Veneers are custom-designed to match your natural teeth and facial features.
Are porcelain veneers permanent?
Yes. A small amount of enamel is removed, making veneers a permanent cosmetic solution.
Can porcelain veneers fix gaps and stains?
Porcelain veneers can correct gaps, discoloration, chips, and uneven teeth.
Are porcelain veneers covered by insurance?
Porcelain veneers are usually considered cosmetic and not covered by insurance.