Passion Driven Family Owned
Dental practice in Dubin.
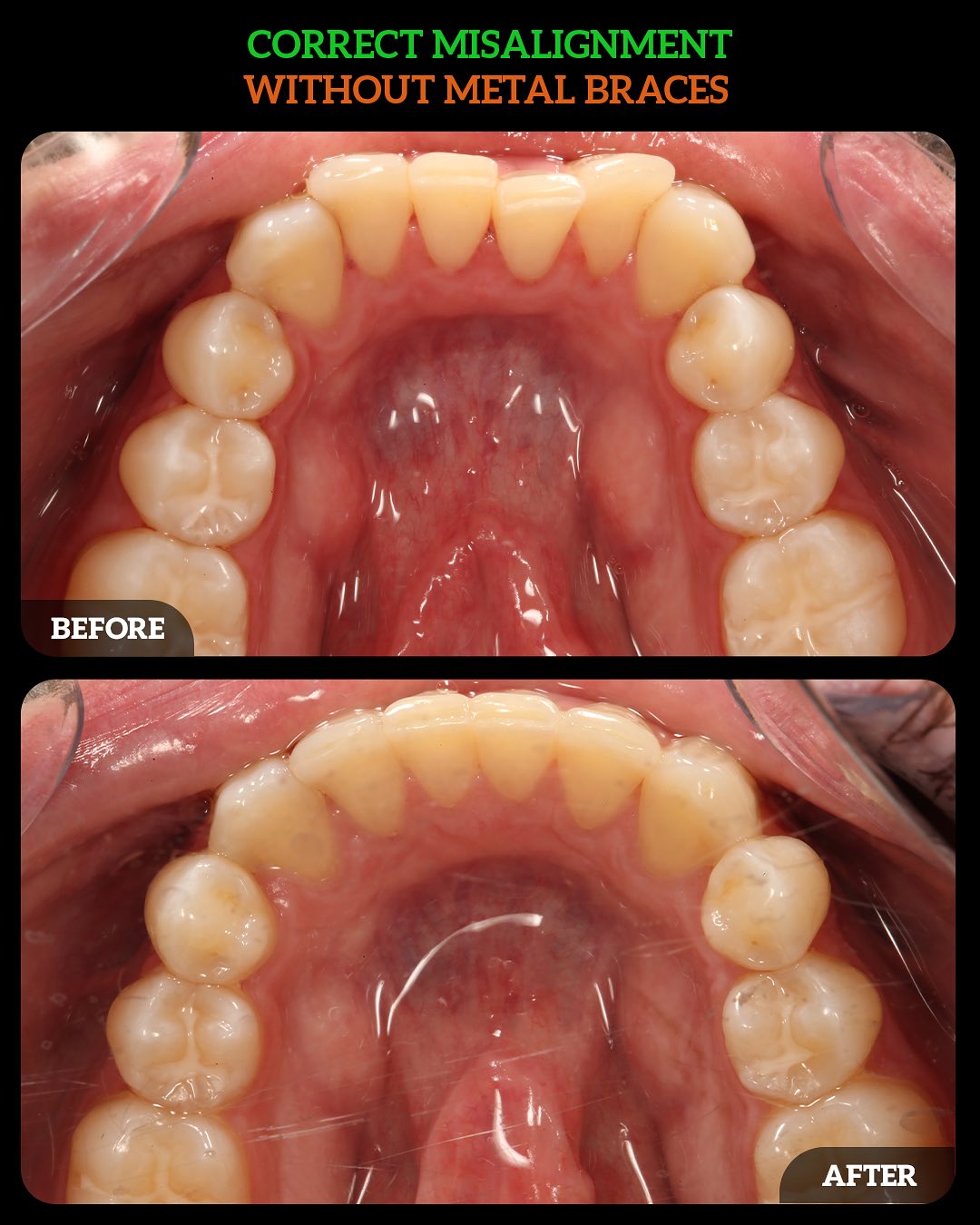
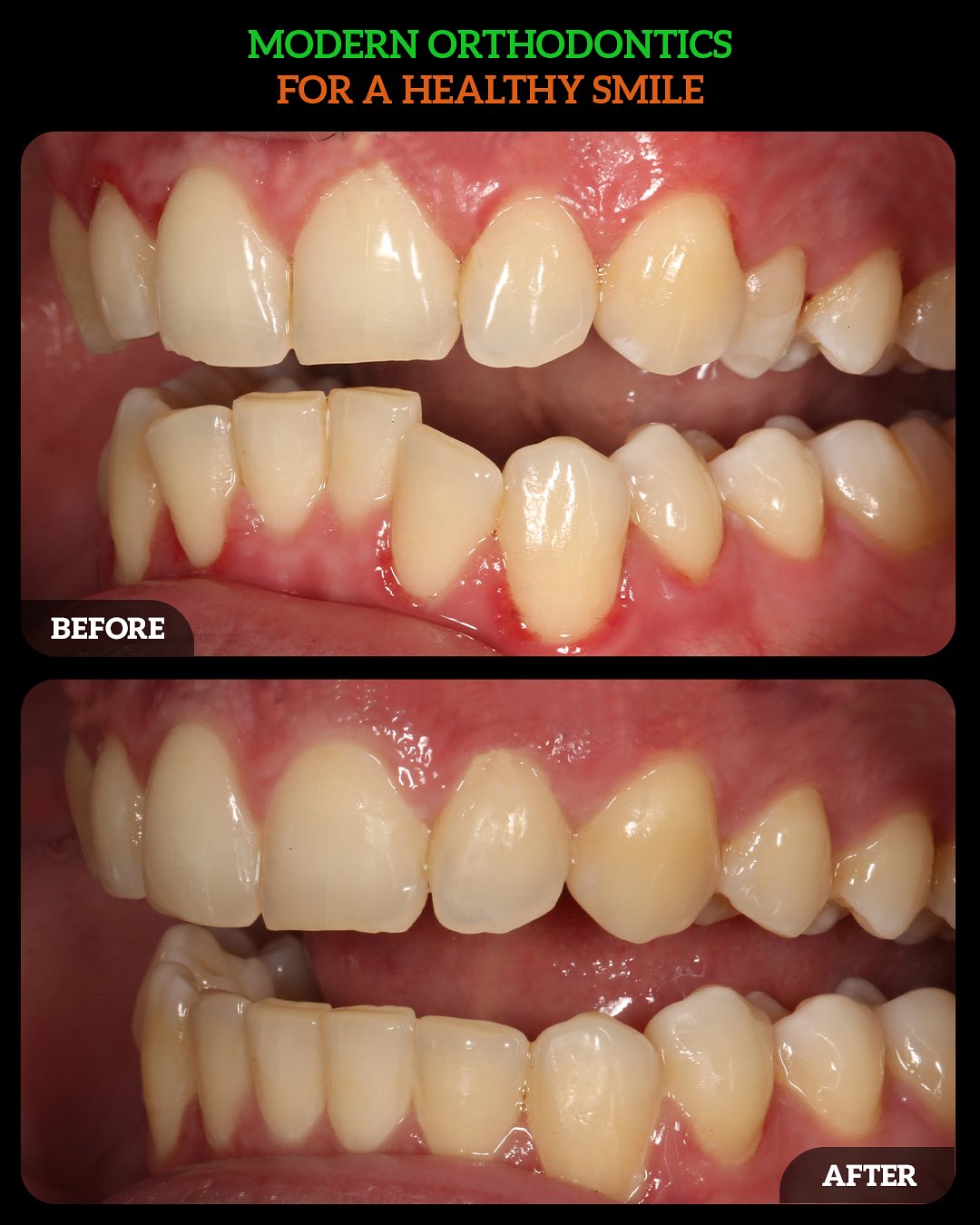
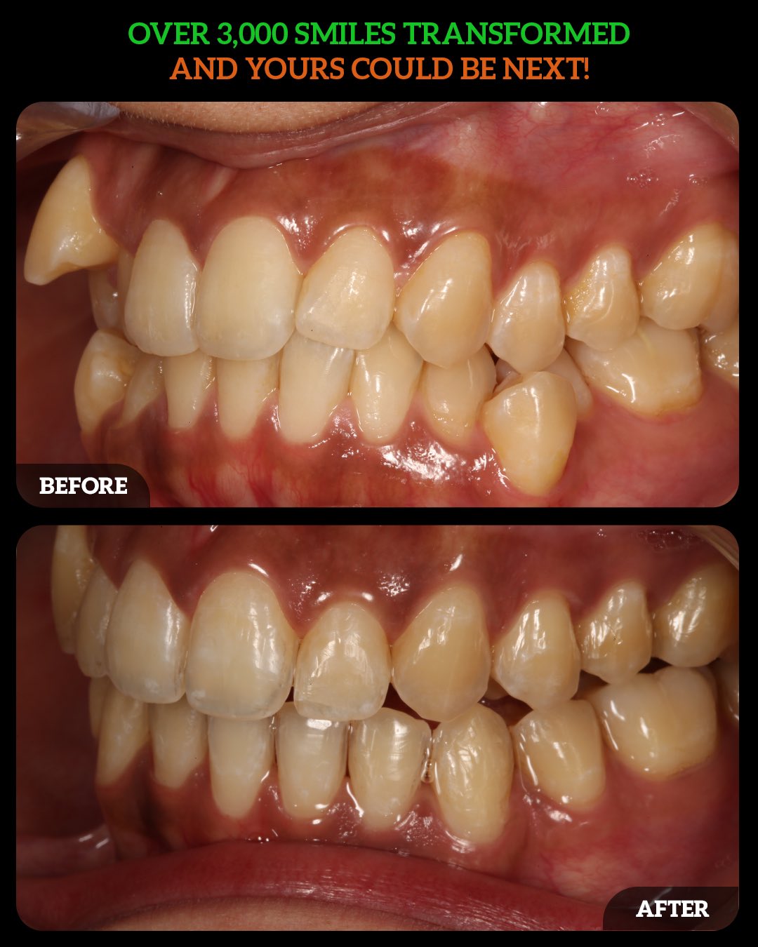
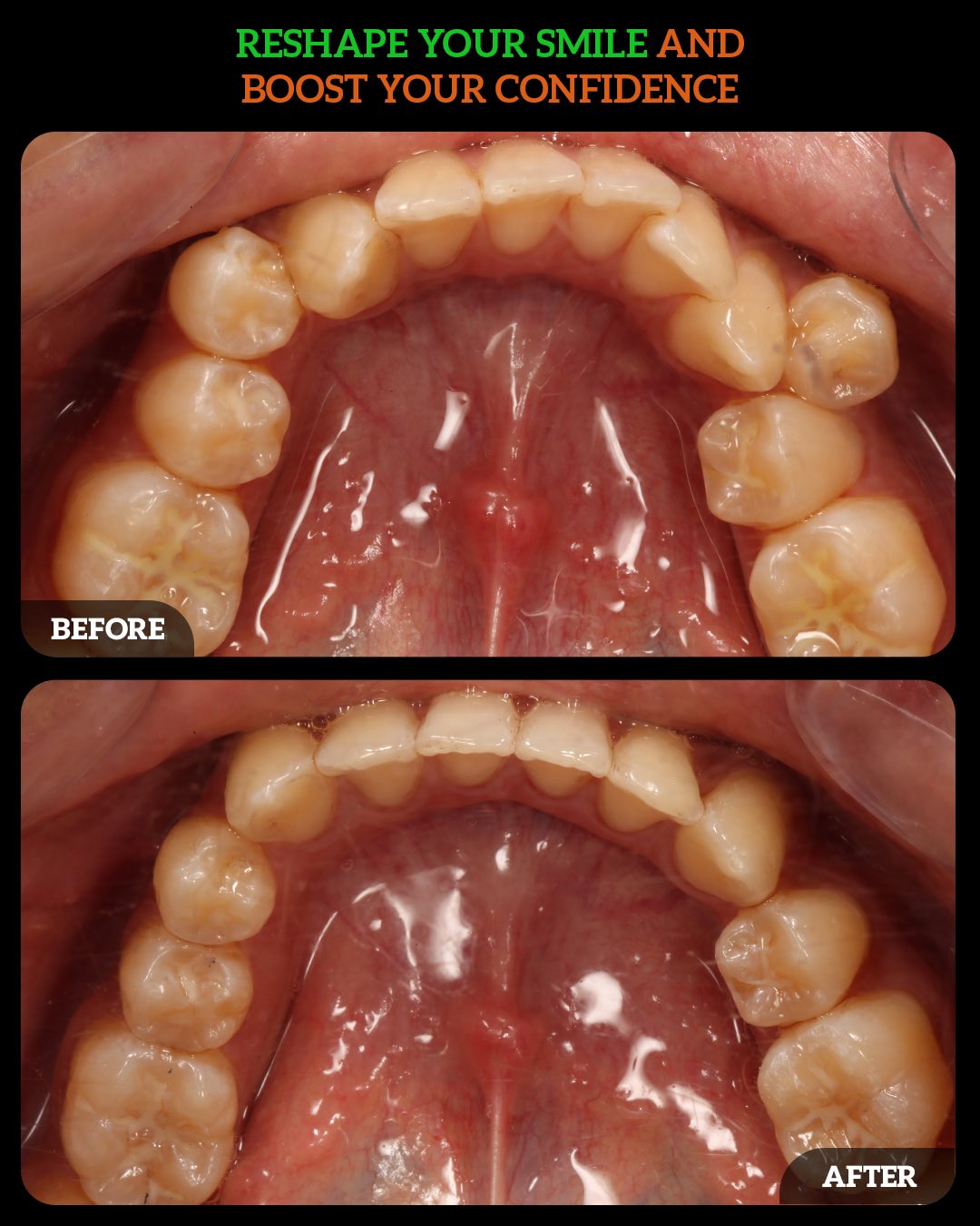
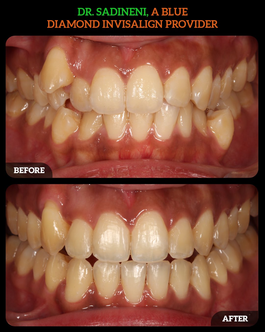
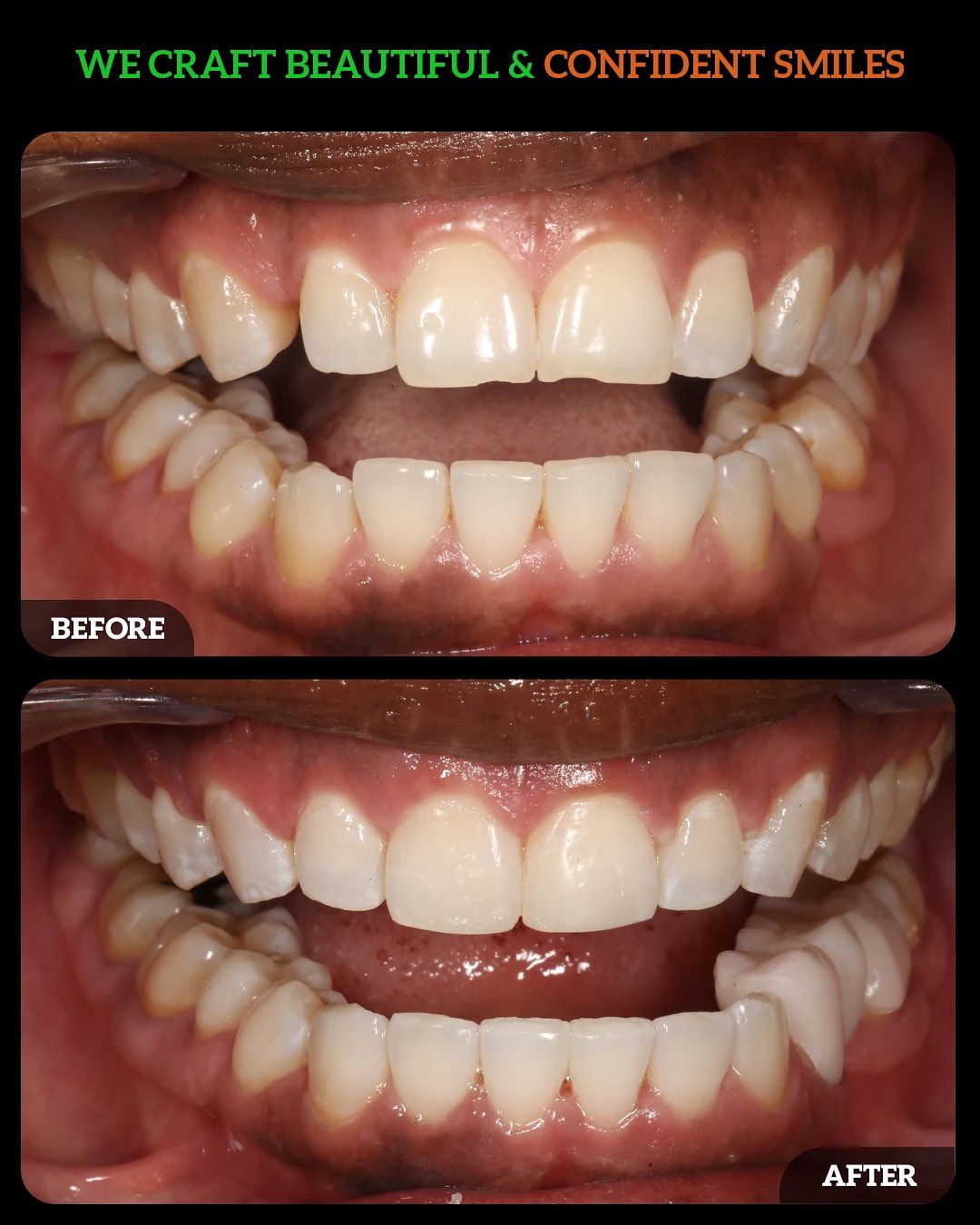
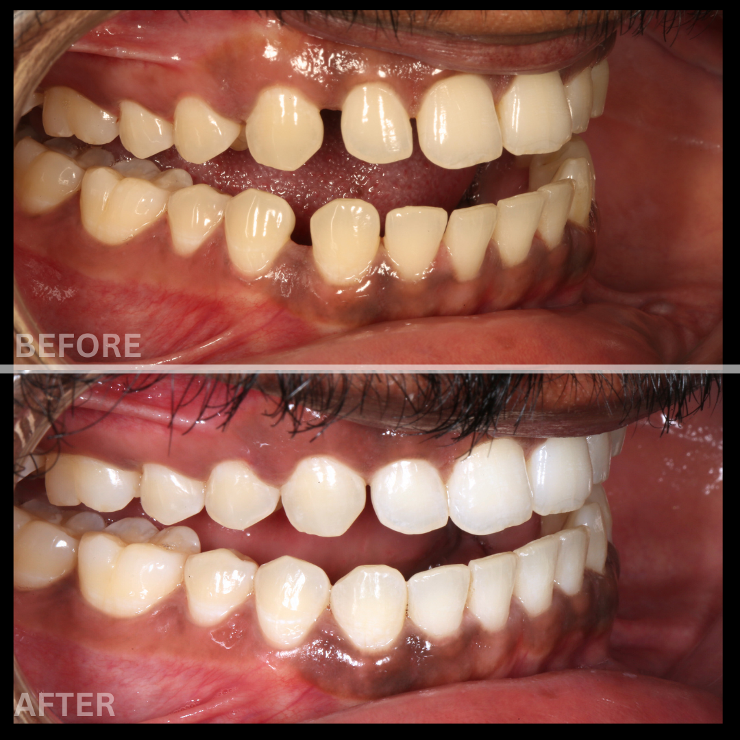
Completed over 3,000+ Invisalign Clear Braces Treatments for Adults & Teens.
Easy Process to Get your Invisalign Started!
Meet Dr. Sadineni & plan your smile
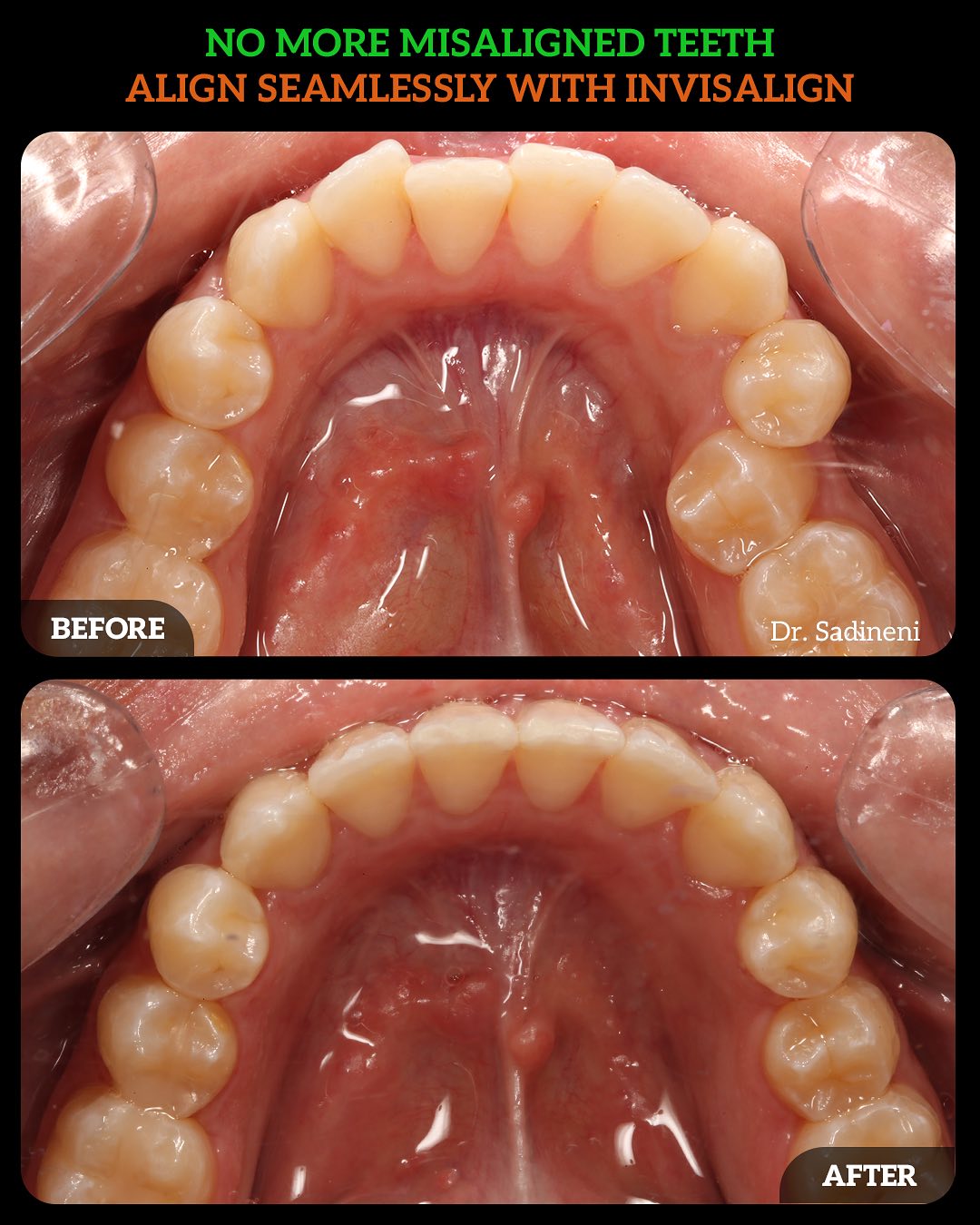
We’ll begin by evaluating your teeth and bite, followed by a detailed 3D scan to replace messy traditional impressions. From there, we’ll present a digital plan showing exactly how your teeth will shift, creating a personalized Invisalign roadmap tailored to your smile.
Begin your transformation with aligners
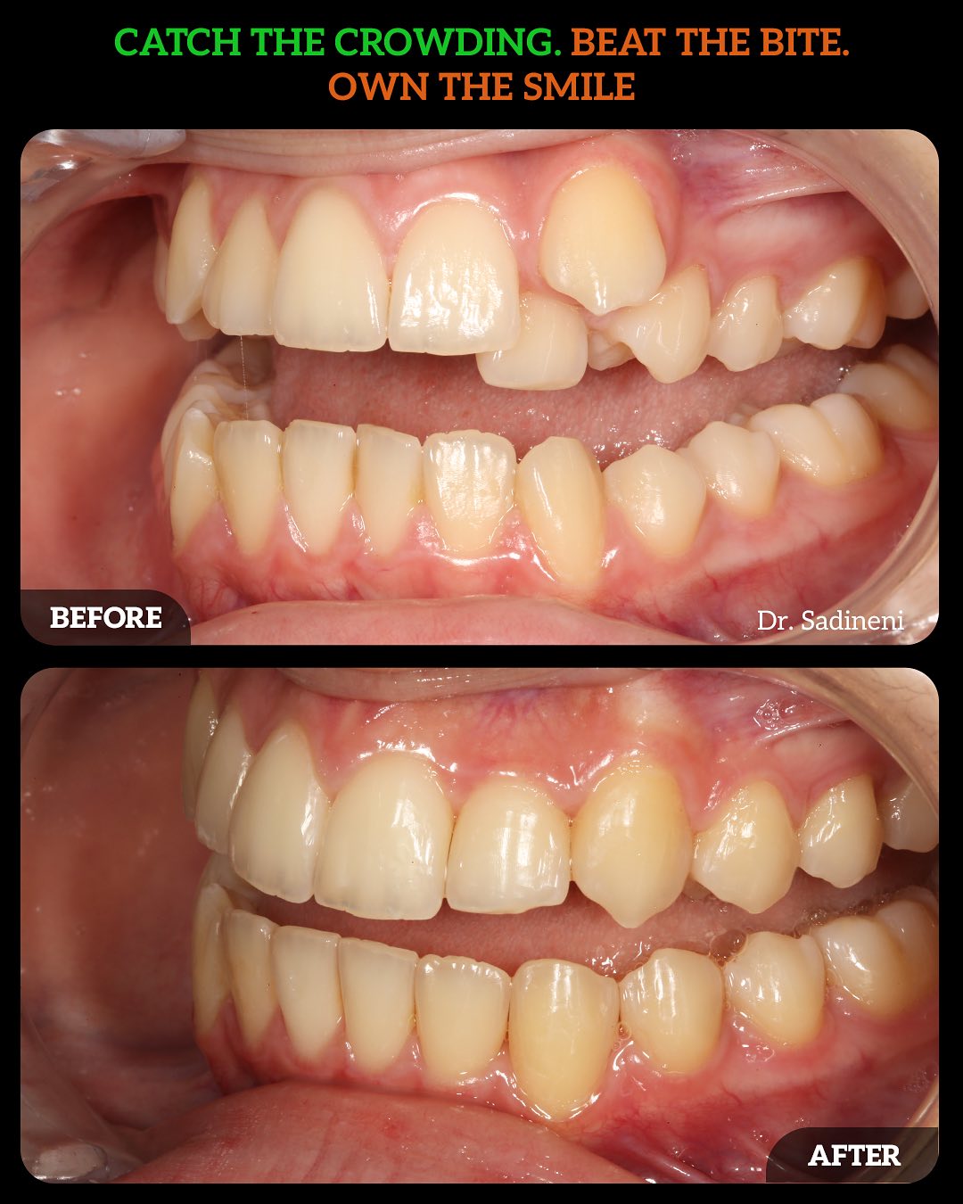
Dr. Sadineni will personally fit your first set of aligners to ensure a comfortable start. To stay on track, you’ll wear them for 20–22 hours a day, switching to a new set every one to two weeks. Regular check-ins with our office will ensure your progress is moving perfectly according to plan.
Keep your new smile looking great
Once your treatment is complete, you’ll receive a custom retainer to ensure your teeth stay securely in their new, straighter positions. To protect your investment, regular checkups will help us monitor your results and make sure your smile stays exactly how you want it for years to come.
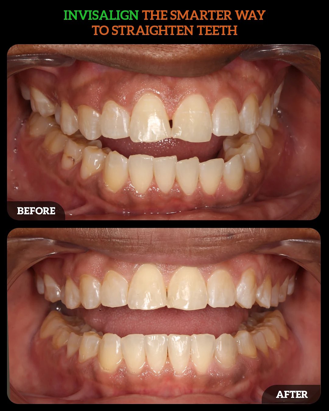
Jacob BrADLEY Invisalign Transformation



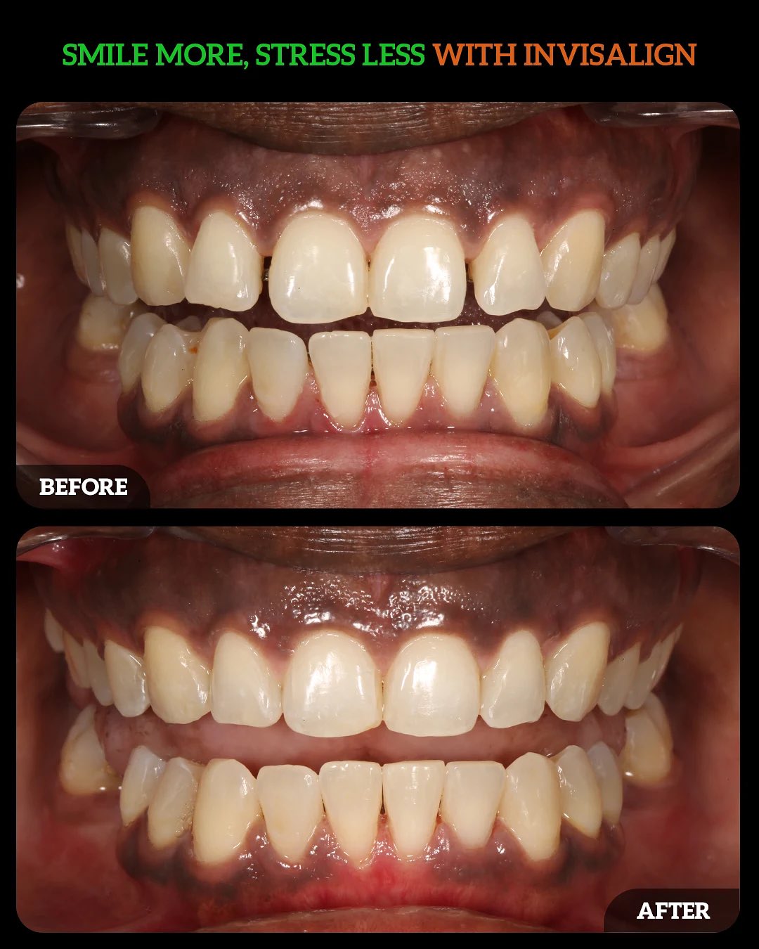
Edward Invisalign Transformation





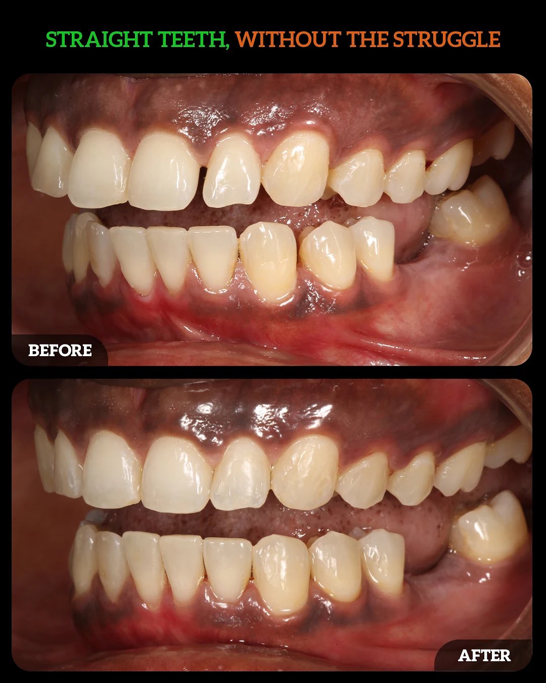
Jiawie Invisalign Transformation





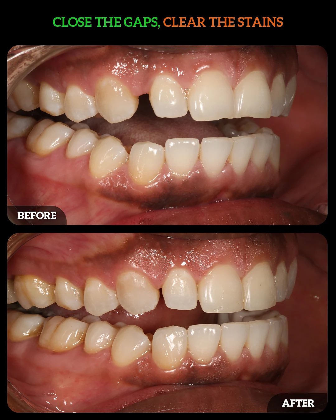
Alex Invisalign Transformation



Alehandro Invisalign Transformation




Adam Invisalign Transformation




Abha Invisalign Transformation




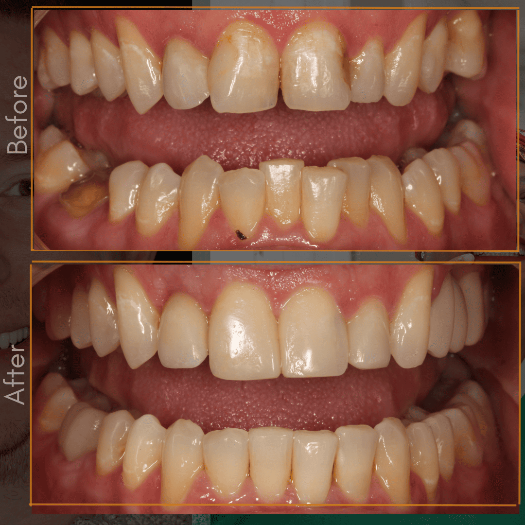
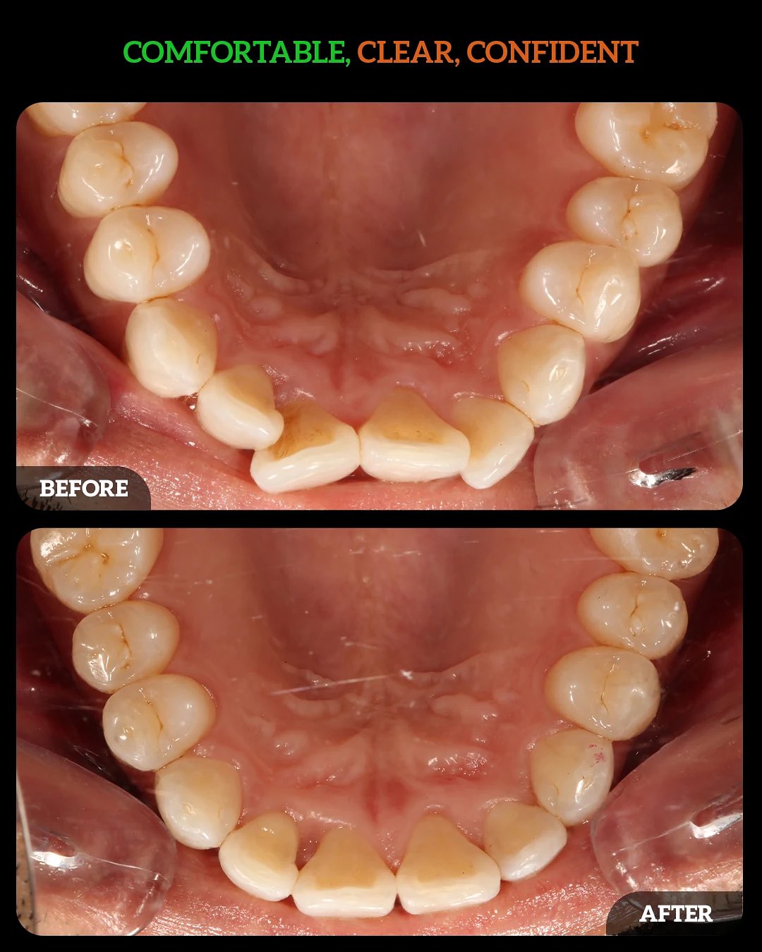
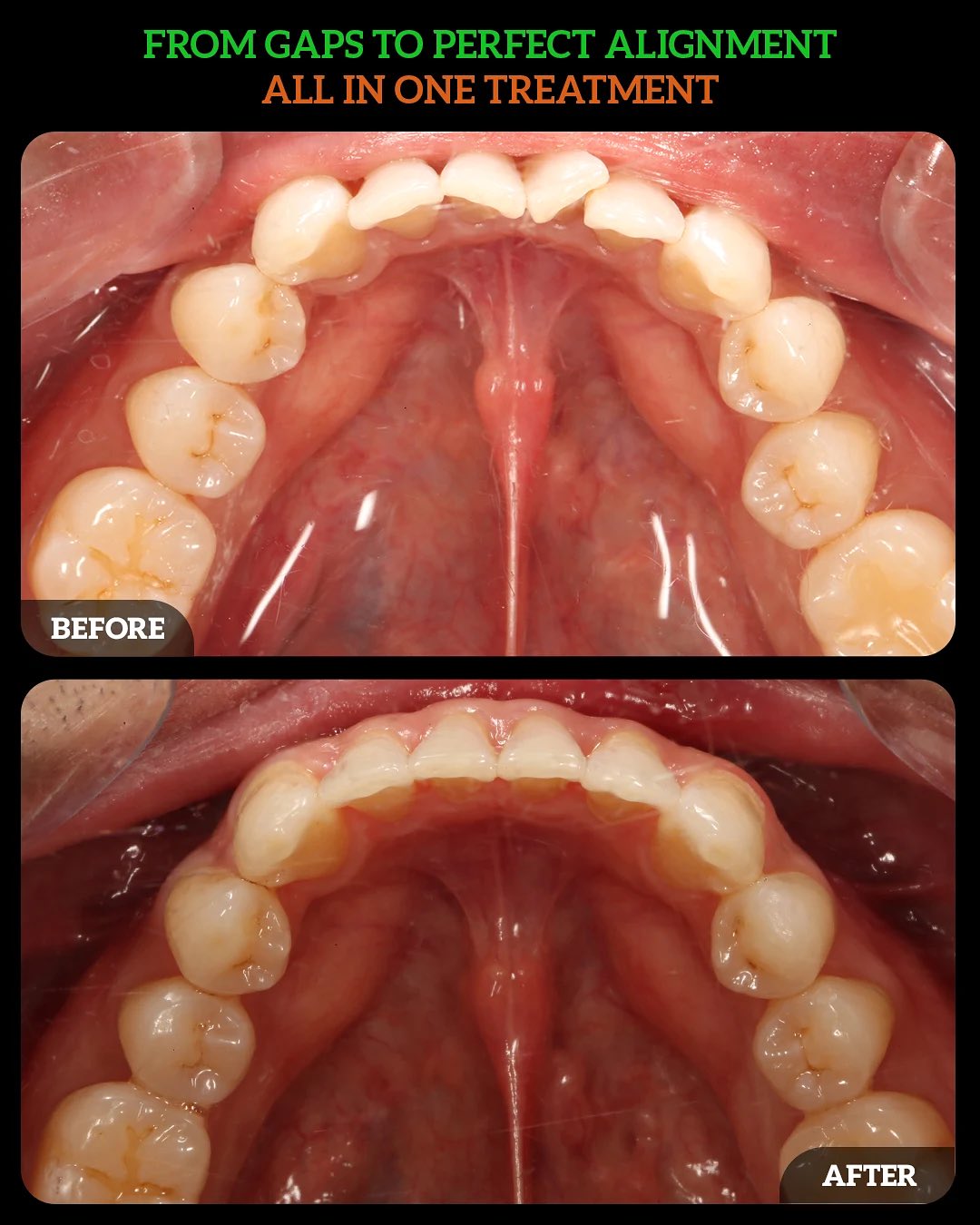
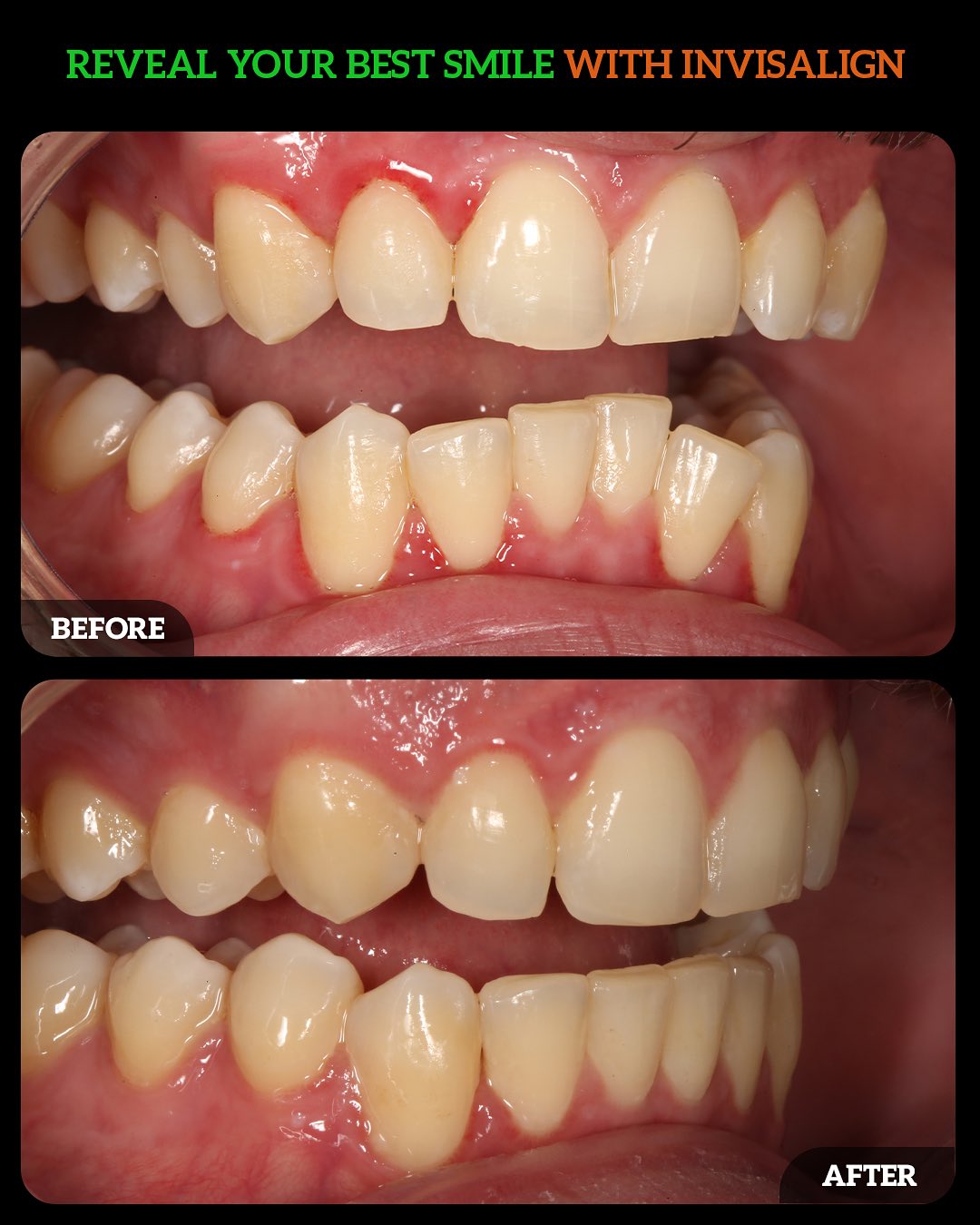
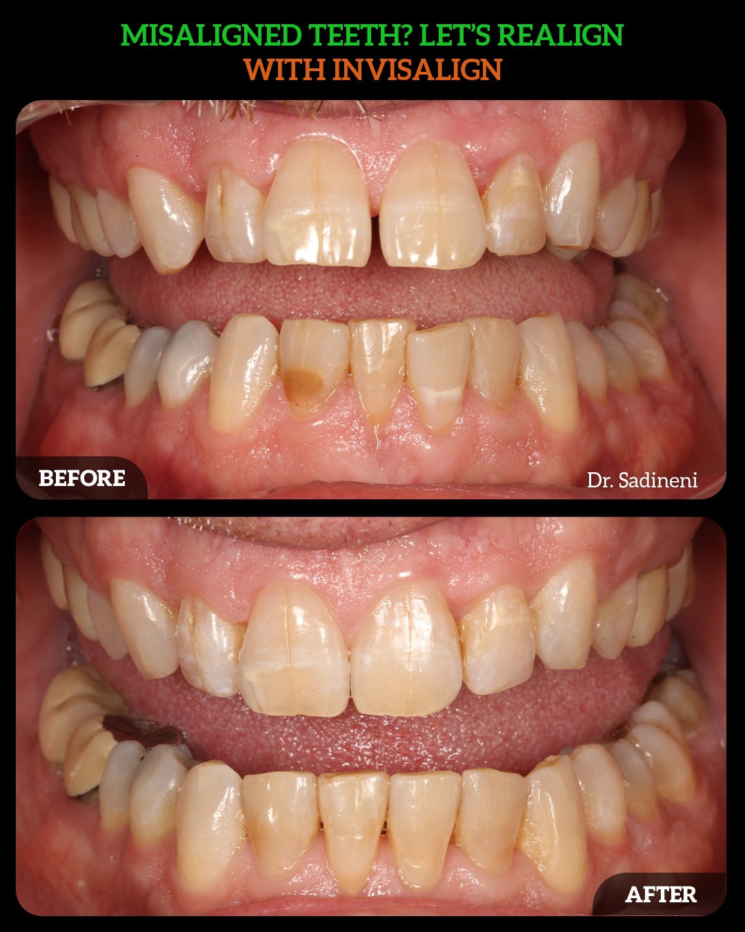
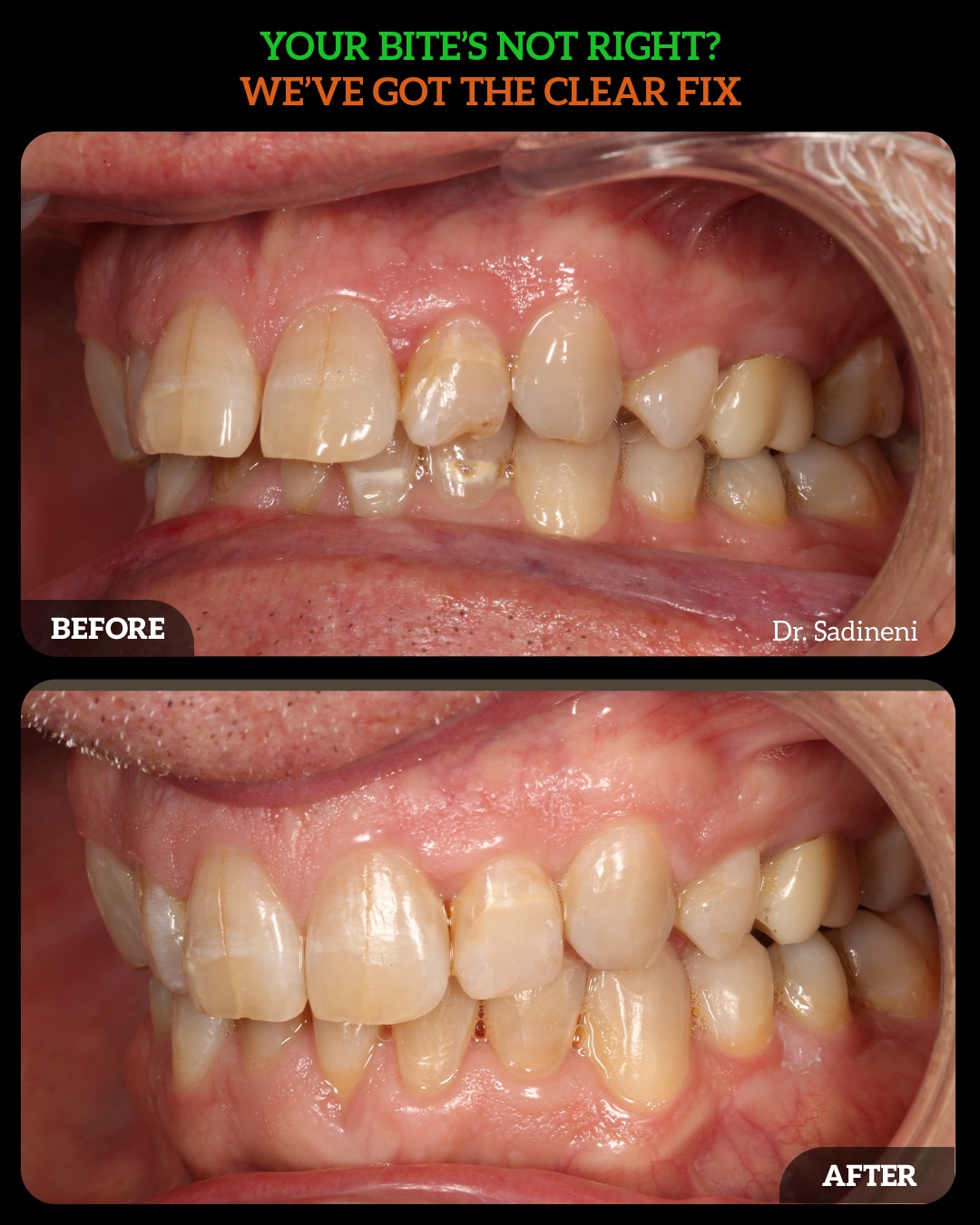
Transformation with Invisalign



Transformation with Invisalign



Transformation with Invisalign



Shree Invisalign bonding Transformation





Melissa Invisalign bonding Transformation






Joshua digby Invisalign bonding Transformation






Jose Alacanter Invisalign bonding Transformation





Franceso Invisalign Transformation





Dearius Invisalign Transformation





Anna Invisalign Transformation




Amber Invisalign Transformation




Jack Invisalign Transformation



Gregory weaver invsalign composite veneer



Amanda Invisalign Transformation




Alicia Invisalign Transformation






Kim Invisalign Transformation



Jack Invisalign Transformation



Jode Invisalign Transformation





Invisalign pt Transformation



Hayley Invisalign Transformation





Esam dobal Invisalign Transformation





Daniella Invisalign Transformation



Bharath Invisalign Transformation




Ben c Invisalign Transformation





Amanda Invisalign Transformation




Akshay Nethikunta Invisalign Transformation



Invisalign Transformation



Invisalign Transformation



Morgane Invisalign Transformation






Jay Invisalign Transformation



Daisy Invisalign Transformation



Arush Invisalign Transformation






Hailey Invisalign Transformation



Brianna Invisalign Transformation




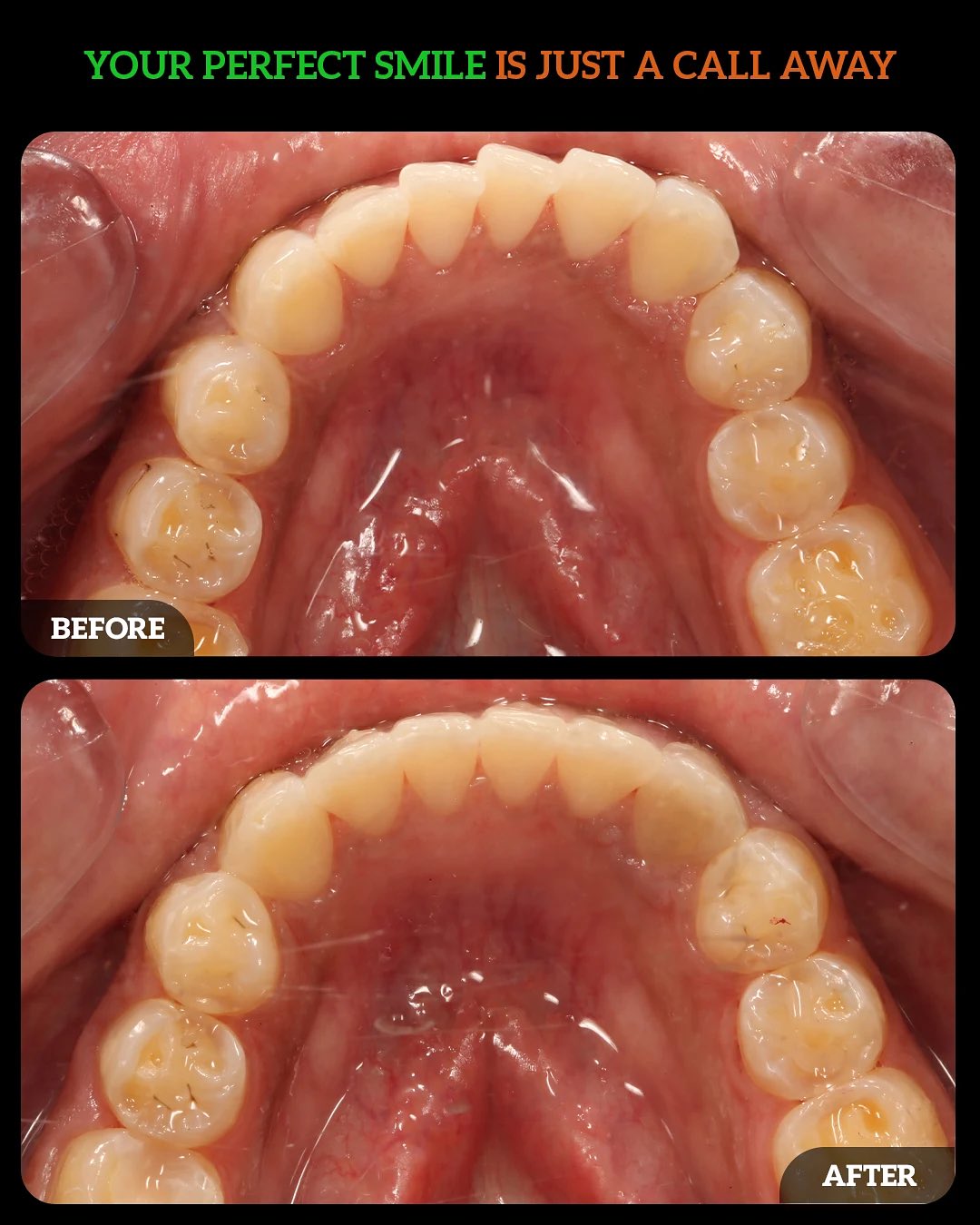
Using advanced 3D digital scans, we’ll map out how your teeth will move—
no messy impressions, no guesswork!
Comfortable aligners designed to fit your lifestyle, helping you straighten your teeth confidently and discreetly. A healthier, straighter smile is closer than you think—schedule your Invisalign consultation today!